Unterstützung für Patienten

Parodontitis entsteht nicht nur durch mangelnde Mundhygiene – oft spielt das empfindliche Gleichgewicht der Bakterien im Mund, das sogenannte orale Mikrobiom, eine entscheidende Rolle. Gerät dieses Gleichgewicht aus dem Takt, kann es zu Zahnfleischentzündungen, Blutungen und langfristig sogar zu Zahnverlust kommen.

Unsere Analyse hilft Ihnen, die bakteriellen Ursachen Ihrer Parodontitis besser zu verstehen. So können Sie gemeinsam mit Ihrer Zahnärztin oder Ihrem Zahnarzt gezielt vorbeugen, passende Maßnahmen wählen und das Risiko für weitere Schäden deutlich reduzieren.

Unser Ziel: Ihnen Klarheit geben – damit Sie Ihre Parodontitis wirksam und nachhaltig kontrollieren können.

Parodontitis – Wenn Zahnfleischentzündung zur Gesundheitsgefahr wird

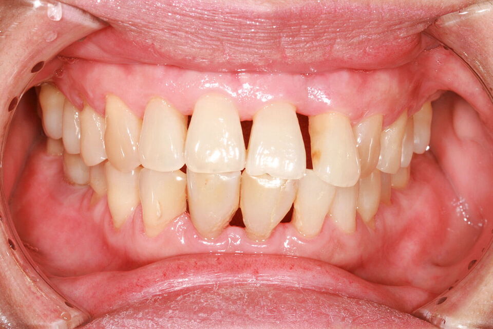
Viele Menschen kennen das: Beim Zähneputzen blutet das Zahnfleisch, es zieht sich langsam zurück oder die Zähne wirken „länger“. Was viele nicht wissen: Hinter diesen harmlos wirkenden Anzeichen kann eine ernsthafte chronische Erkrankung stecken – die Parodontitis.

Mehr als nur Zahnfleischbluten

Parodontitis (früher „Parodontose“ genannt) ist eine bakterielle Entzündung des Zahnhalteapparates. Sie betrifft rund 35 Millionen Menschen allein in Deutschland und ist eine der häufigsten Ursachen für Zahnverlust im Erwachsenenalter. Oft verläuft sie schmerzfrei und bleibt lange unbemerkt – mit teils gravierenden Folgen.

Was passiert bei Parodontitis?

Im gesunden Mund leben hunderte verschiedene Bakterienarten in einem natürlichen Gleichgewicht. Wird dieses gestört – etwa durch schlechte Mundhygiene, Rauchen, Stress oder genetische Faktoren – können sich krankmachende Keime ausbreiten. Sie greifen das Zahnfleisch an, wandern tief in die Zahnfleischtaschen und zerstören dort langsam den Knochen. Das Ergebnis: Lockernde Zähne und im schlimmsten Fall Zahnverlust.

Gefährlich für den ganzen Körper

Parodontitis ist keine reine Zahnkrankheit. Die Entzündung bleibt nicht auf den Mund beschränkt: Die Bakterien und ihre Gifte gelangen über kleine Wunden im Zahnfleisch in den Blutkreislauf – und können den gesamten Körper beeinflussen.

Studien zeigen: Menschen mit Parodontitis haben ein erhöhtes Risiko für:

Herzinfarkt und Schlaganfall

Diabetes Typ 2 – und umgekehrt: Diabetes begünstigt Parodontitis

Frühgeburten und Komplikationen in der Schwangerschaft

Rheuma und andere Auto­immun­erkrank­ungen

Chronische Lungen­erkrankungen (COPD)

Alzheimer und Demenz

Verdauungs­probleme und Darm­erkrankungen

Erektions­störungen und Fruchtbarkeits­probleme

Die Mundgesundheit ist also eng mit der allgemeinen Gesundheit verknüpft – sie ist Spiegel und Schlüssel zugleich.

Warum Antibiotika nicht die Lösung sind

Früher wurden bei Parodontitis häufig Antibiotika verschrieben. Heute weiß man: Das ist nur in bestimmten Fällen sinnvoll. Antibiotika wirken nicht gezielt, sondern schädigen auch gesunde Bakterien im Körper. Ihr häufiger Einsatz kann Resistenzen fördern – dann helfen sie im Notfall nicht mehr.
Moderne Zahnmedizin setzt daher auf eine präzise Diagnostik statt pauschaler Medikamente.

Individuelle Mikrobiomanalyse: Die moderne Vorsorge

Mit innovativer Technologie – der sogenannten NGS-Analyse (Next Generation Sequencing) – lassen sich alle Bakterien in Ihrer Mundhöhle genau bestimmen. Das ermöglicht eine individuelle Risikobewertung und eine maßgeschneiderte Therapie – noch bevor eine Parodontitis vorliegt und ganz ohne unnötige Medikamente.

Diese Analyse zeigt vor Entstehung von Krankheitssymptomen:

  • Welche Bakterien vorhanden sind
  • Wie groß das Risiko ist eine Parodontitis zu entwickeln

Bei akuter Parodontitis zeigt die Analyse:

  • Welche Bakterien für Ihre Entzündung verantwortlich sind
  • Wie schwer der bakterielle Befall ist
  • Ob eine Antibiotika-Therapie sinnvoll ist
  • Ob bestimmte Antibiotika überhaupt wirksam wären

So kann Ihre Zahnärztin oder Ihr Zahnarzt eine Behandlung entwickeln, die genau zu Ihnen passt.

Unser Rat: Früh erkennen – gezielt behandeln

Parodontitis ist gut behandelbar – wenn sie rechtzeitig erkannt wird. Lassen Sie Ihr Risiko professionell einschätzen und klären Sie Beschwerden frühzeitig ab. Eine individuelle Mikrobiomanalyse kann Ihnen dabei helfen, Ihre Gesundheit langfristig zu schützen.

Denn gesunde Zähne bedeuten mehr Lebensqualität – und oft auch mehr Lebensjahre.
Sprechen Sie mit Ihrer Zahnarztpraxis über moderne Diagnostik bei Parodontitis.

 

Für Ihre Zähne. Für Ihre Gesundheit.

Ihre Vorteile bei uns

Frühzeitige Erkennung und Risikobewertung – noch vor Symptomen:
Klarheit über das individuelle Risiko für Parodontitis – auch ohne Beschwerden.

Personalisierte Therapie statt Standardbehandlung:
Behandlung, die genau auf die eigene bakterielle Situation zugeschnitten ist.

Sicherheit durch objektive und modernste Labordiagnostik:
Transparente, verständliche Ergebnisse stärken das Vertrauen in die Behandlung.

Bessere Therapieergebnisse und langfristiger Zahnerhalt:
Höhere Erfolgschancen durch gezielte Maßnahmen und regelmäßiges Monitoring.

Vermeidung von Folgeschäden und Folgeerkrankungen:
Schutz vor Zahnverlust und möglichen systemischen Erkrankungen (Herz, Diabetes etc.).

Aktive Rolle in der eigenen Gesundheitsvorsorge:
Die Analyse motiviert zur Prävention und stärkt die Mundgesundheitskompetenz.

Werden Sie Teil der ersten Nutzergruppe unseres Parodontitistests

Wir entwickeln aktuell einen innovativen Diagnostiktest zur Bestimmung des oralen Mikrobioms im Rahmen von Parodontitis. Dieser Test wird es ermöglichen, die individuelle Bakterienzusammensetzung im Mundraum präzise zu analysieren – ein wichtiger Schritt für personalisierte Prävention und Therapie.

Wir laden interessierte Zahnärzt:innen, Forschende und Patient:innen ein, sich frühzeitig für exklusive Informationen, Pilotstudien und den Produktstart anzumelden.

Profitieren Sie von:

  • Frühzeitigen Updates zur Produktverfügbarkeit
  • Möglichkeit zur Teilnahme an Testphasen
  • Exklusiven Einblicken in die wissenschaftlichen Hintergründe

 

Melden Sie sich direkt hier unverbindlich an

Ich bin...*
Interesse an...